Diagnostic précoce du syndrome de CANVAS

Le syndrome de CANVAS (Cerebellar Ataxia, Neuropathy and Vestibular Areflexia) fait partie des maladies rares. C’est un groupe de pathologies qui, en règle générale, touche une minorité de personnes. Elles sont souvent sévères, chroniques et d’évolution progressive, et, pour la plupart, ont une cause d’origine génétique. Malgré tout, près de la moitié de ces maladies ne bénéficient pas de diagnostic précis, leur cause demeurant encore inconnue.

Pendant très longtemps, le syndrome de CANVAS n’a connu qu’une définition clinique avec une description de cas tant sporadiques qu’héréditaires et pour lesquels peu d’études fournissaient une explication génétique de la maladie jusqu’à une étude récente menée par une équipe londonienne qui a mise à jour une anomalie génétique ches les patients présentant un CANVAS clinique.

Recherche et diagnostic

En 2019, une expansion intronique au sein du gène RFC1 responsable de cas de CANVAS a été mise en évidence grâce à la technique de Whole Genome Sequencing (WES). C’est ainsi qu’une expansion de longueur variable d’un pentanucléotide a été découverte chez les patients atteints de ce syndrome.

Cette découverte a donc permis le développement du projet de mise en place du diagnostic génétique au sein de l’équipe de génétique médicale du Service de Biochimie et de Génétique Moléculaire du CHU de Limoges. Tout d’abord, l’étude d’une cohorte de patients a permis de parfaire les connaissances concernant cette pathologie grâce à différentes investigations tant cliniques que génétiques.

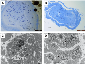
Celles-ci témoignent que le fardeau du CANVAS s’étend bien au-delà de l’ataxie cérébelleuse et des manifestations vestibulaires. En effet, les biopsies cutanées ont montré une perte presque complète des fibres nerveuses intra-épidermiques et les biopsies nerveuses suggèrent une atteinte importante des petites fibres. Et, c’est sans compter une toux chronique assez caractéristique qui a été mise en évidence. Ainsi, cette étude a permis de démontrer l’importance de la non-négligence de certains symptômes tels que la toux chronique et les douleurs neuropathiques pour permettre un diagnostic précoce de cette maladie, mais aussi éviter certains traitements inutiles.

De plus, d’un point de vue génétique, de nombreuses conformations ne cessent d’être mises en évidence depuis, certaines pathologiques, tandis que d’autres ne semblent pas être en cause. Ainsi, il est important de poursuivre les explorations des différentes expansions afin d’estimer leur fréquence dans la population générale, mais aussi d’approfondir leur potentiel lien avec le syndrome de CANVAS.

Quelques articles représentatifs

– Efficacy of morphine on cough in patientes with repeat expansions of RFC1 and refractory chronic cough. Guilleminault et al. ERJ Open Res. 2026 Jan 12;12(1):00840-2025. PMID : 41532091
– Cerebellar ataxia, neuropathy and vestibular areflexia syndrome: a neurogenetic cought prototype. Guillemilault et al. ERJ Open Res. 2024 Jul 29;10(4):00024-2024. PMID: 39076534
– Early diagnosis in Cerebellar Ataxia, Neuropathy, Vestibular Areflexia Syndrome (CANVAS) by focusin on major clinical clues: Beyond ataxia and vestibular impairment. Magy et al. Biomedecines. 2022 Aug 22, 10(8):2046. PMID: 36009593