Diagnostics histologiques, immunohistochimiques et par microscopie électronique de l'innervation cutanée

Le service de Neurologie et plus précisément le centre de référence a une expertise reconnue de longue date dans le diagnostic histopathologique des neuropathies périphériques.
Depuis de nombreuses années, la reconnaissance et la visibilité nationale du centre a permis de participer à de nombreux travaux, qu’ils soient locaux ou collaboratifs.

Expertise et diagnostic

Le centre de référence a une expertise à travers l’analyse de précision de biopsies nerveuses et contribue au diagnostic de nombreuses formes de neuropathies périphériques. En outre, cette expertise a permis de contribuer au démembrement de divers types de neuropathies rares, y compris tout récemment dans le domaine des nodo-paranodopathies et de certaines neuropathies héréditaires.
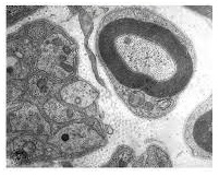
C’est l’un des rares centres en France à avoir développé l’analyse de biopsies cutanées dans le domaine des neuropathies sensitives, et à analyser en routine les échantillons qu’ils soient de notre centre et de centres répartis sur le territoire français (Bordeaux, Lille, Perpignan, Nice…). L’expertise histologique du centre est donc mis à profit, d’une part pour le diagnostic de routine des neuropathies héréditaires ou acquises et, d’autre part, pour la recherche dans les mêmes domaines. Ces compétences reposent sur l’expertise de médecins neurologues ou pathologistes ainsi que d’ingénieurs et techniciens de laboratoire.

Quelques articles représentatifs

– Therapeutic issues in Guillain-Barré syndrome. Magy et al. Expert Rev Neurother. 2023 Jun;23(6):549-557. PMID: 37151048
[Small fiber neuropathy diagnosis]. Théaudin et al. Rev Med Suisse. 2022 Apr 27;18(779):803-807. PMID: 35481505
– Skin and Nerve Neovascularization in POEMS Syndrome: Insights From a Small Cohort. Guibert et al. J Neuropathol Exp Neurol. 2020 May 1;79(5):542-550. PMID: 32296845
– Focus on 1,25-Dihydroxyvitamin D3 in the Peripheral Nervous System. Faye et al. Front Neurosc. 2019 Apr 12;13:348. PMID: 31031586
– Rodent Models with Expression of PMP22. Relevance to Dysmyelinating CMT and HNPP. Jouaud et al. J Neurol Sci. 2019 Mar 15;398:79-90. PMID: 30685714
– Pathology of Nerve Biopsy and Diagnostic Yield of PCR-based Clonality Testing in Neurolymphomatosis. Duchesne et al. J Neuropathol Exp Neurol. 2018 Sep 1;77(9):769-781. PMID: 30011033