Article sur le syndrome de CANVAS et son diagnostic précoce – Étude de 8 patients
Une étude montrant que certains syndromes ne doivent pas être négligée pour permettre un diagnostic précoce et éviter une immunothérapie inutile dans le CANVAS.
Laurent MAGY, Pauline CHAZELAS, Anne-Sophie LIA et Mathilde DUCHESNE, ainsi que d’autres membres de NeurIT et du CHU de Limoges ont publié un article intitulé « Early Diagnostic in Cerebellar Ataxia, Neuropathy, Vestibular Areflexia Syndrome (CANVAS) by Focusing on Major Clinical Clues : Beyond Ataxia and Vestibular Impairment » dans le Journal Biomedicines.
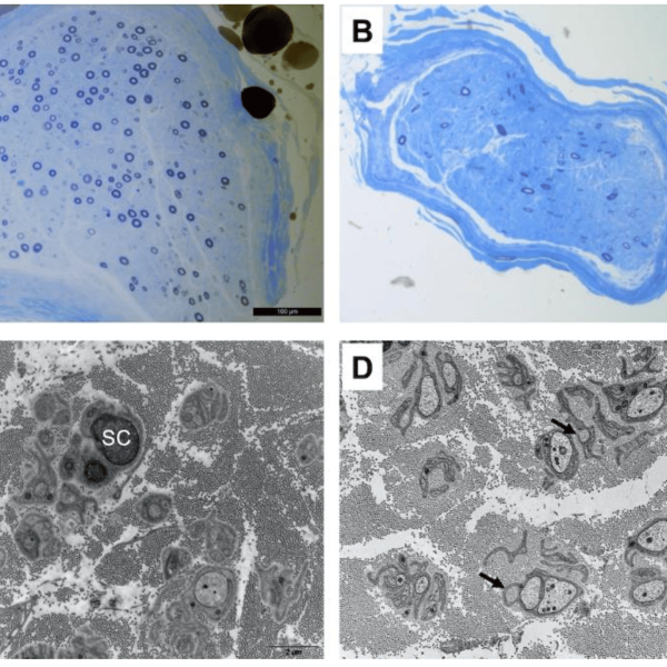
Cet article a été réalisé dans le cadre de 8 patientes présentant une neuropathie sensorielle et/ou une toux inexpliquée, qui semblaient souffrir du CANVAS. Un accent tout particuliers a été mis sur des indices cliniques permettant un diagnostic précoces grâce à différentes investigations (cliniques et génétiques).
Une toux chronique assez caractéristique a été mise en évidence chez tous les patients sauf un. Les biopsies cutanées ont montrée une perte presque complète des fibres nerveuses intra-épidermiques et les biopsies nerveuses suggèrent une atteinte importante des petites fibres.
Ainsi, le fardeau du CANVAS s’étend bien au-delà de l’ataxie cérébelleuse et des manifestations vestibulaires et l’étude montre que les symptômes telle que la toux chronique et les douleurs neuropathiques ne doivent pas être négligées pour permettre un diagnostic précoce et éviter certain traitements inutiles.
Retrouver l’article en suivant ce lien.
Affiliation des auteurs :
– UR20218 NeurIT, Université de Limoges, F-87000 Limoges, France
– Service de Neurologie, CHU de Limoges, F-87000 Limoges, France
– Service de Biochimie et de Génétique Moléculaire, CHU de Limoges, F-87000 Limoges, France
– Service de Bioinformatique, CHU de Limoges; F-87000 Limoges, France
– Service d’Anatomie Pathologie, CHU de Limoges, F-87000 Limoges, France
⇒ Contact : Laurent MAGY ou Pauline CHAZELAS
Campus Marcland - 2, rue du docteur Marcland
87025 Limoges - France
Tél. +33 (5) 05 55 43 58 00
